Dişlerimiz Neden Çürür
Gülümsememiz, insanlarla aramızdaki görünmez köprü gibidir. Bir tebessüm, bazen uzun cümlelerin bile anlatamadığını anlatır. Karşımızdaki insana güven verir, samimiyetimizi gösterir, iç dünyamızın bir yansıması olur. Ama ne yazık ki bu sıcak gülümsemenin önüne geçen, o ışıltıyı gölgeleyen bir şey var: diş çürükleri.
Hiç düşündünüz mü, dişlerimiz neden çürür? Neden bazı insanların dişleri yıllarca bembeyaz ve sağlam kalırken, bazıları düzenli fırçalasa bile çürüklerle uğraşır? Hatta belki sen de o kişilerden birisin; “Ben her gün dişlerimi fırçalıyorum, yine de çürük çıktı!” diye hayıflanmışsındır. Aslında yalnız değilsin. Çünkü diş çürüğü sadece temizlikle ilgili bir konu değil; beslenmeden tükürük yapısına, genetikten yaşam alışkanlıklarına kadar birçok etkenin bir araya gelmesiyle oluşan karmaşık bir süreçtir.
Gün içinde yediğimiz her lokma, içtiğimiz her yudum aslında dişlerimizle temas eder. Tatlı bir kek, sabah kahvemiz, hatta “zararsız” sandığımız meyve suları bile diş minesine ufak ufak zarar verebilir. Bu zararlar genellikle sessiz başlar. Önce dişlerde hafif bir hassasiyet hissedersin, belki sıcak-soğuk farkında kısa bir sızlama olur ama geçer diye önemsemezsin. Oysa o sırada minik bir bakteri kolonisi, dişinin yüzeyinde çalışmaya başlamıştır bile.
Zamanla bu bakteriler, ağız ortamında kalan şekerleri asitlere dönüştürür ve bu asitler diş minesini yavaşça aşındırır. Tıpkı bir kayanın üzerine damlayan su gibi, sabırla ve fark ettirmeden ilerler. Bir gün aynaya baktığında küçük bir siyah nokta görürsün ya da dişini ısırırken ani bir ağrı hissedersin. İşte o zaman “keşke biraz daha dikkat etseydim” demek için artık çok geç olabilir.
Diş çürüğü sadece bir estetik sorun değildir. Ağız kokusundan diş kaybına, çiğneme zorluklarından genel sağlığın etkilenmesine kadar birçok soruna yol açabilir. Üstelik, çürüklerin nedeni her zaman aynı değildir. Bazen yanlış fırçalama, bazen yetersiz beslenme, bazen de düzenli diş hekimi kontrolünü ihmal etmek, bu süreci hızlandırabilir.

Diş Çürüğü Nedir?
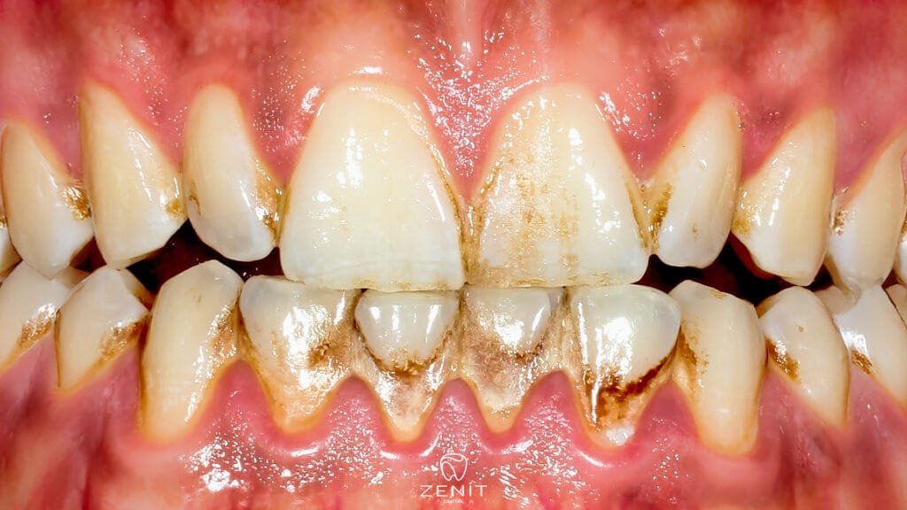
En basit haliyle diş çürüğü, diş minesinin zarar görmesiyle başlayan bir süreçtir. Dişin dış kısmında yer alan mine, aslında vücudumuzdaki en sert dokulardan biridir. Öyle ki, kemikten bile daha dayanıklıdır. Ancak bu güçlü yapı bile zamanla düşmanına yenik düşebilir: asitler.
Ağızda bulunan bakteriler, yediğimiz yiyeceklerdeki şekeri kullanarak asit üretir. Bu asitler, ilk etapta diş yüzeyinde minik aşınmalara neden olur. Başlangıçta fark edilmez; ne ağrı vardır ne de belirgin bir leke… Ama bu sessiz süreç devam ettikçe, diş minesinin altındaki tabaka olan dentini de etkilemeye başlar. Dentin, mineye göre çok daha hassastır. İşte o noktadan sonra işler değişir sıcak bir kahve içerken, soğuk bir suyla ağzını çalkalarken ya da tatlı bir şey yediğinde “ufak bir sızlama” hissedersin. O sızlama aslında dişinin yardım çığlığıdır.
Zamanla bu çürük derinleşir, bakteriler dişin iç kısmındaki sinir dokusuna (pulpa) kadar ulaşabilir. O andan sonra ağrı dayanılmaz hale gelir; bazen başına, kulağına vuran bir zonklama şeklinde, bazen de geceleri uykundan uyandıracak kadar şiddetli bir şekilde kendini gösterir.
Peki Bu Asit Nereden Geliyor?
Dişlerimize zarar veren o sinsi asidin kaynağı aslında sandığımız kadar uzak değil tam da ağzımızın içinde yaşıyor! Evet, yanlış duymadın. Ağız ortamı, milyonlarca farklı bakterinin evi gibidir. Bunların bir kısmı zararsız hatta faydalıdır; ağız dengesini korur, sindirime yardımcı olur. Ama içlerinde bir grup vardır ki, diş sağlığının en büyük düşmanıdır. Özellikle Streptococcus mutans adlı bakteri türü, adeta diş minesinin baş belasıdır.
Bu bakteriler, sen fark etmeden sürekli çalışır. Hele bir de ağzına şekerli bir şey girdi mi mesela bir parça çikolata, bir yudum meyve suyu ya da o çok sevdiğin gazlı içecek hemen işe koyulurlar. Şekeri parçalayarak asit üretmeye başlarlar. Ve bu asit, tıpkı ince ama güçlü bir zımpara gibi, diş minesini yavaş yavaş aşındırır.
İlk başta bir şey hissetmezsin. “Ne olacak canım, bir kere tatlı yedim,” dersin belki. Ama o asitler, her atıştırmadan sonra yaklaşık 20 ila 30 dakika boyunca dişlerine saldırmaya devam eder. Yani günde birkaç kez atıştırıyorsan, aslında dişlerin gün boyu minik asit bombardımanlarına maruz kalıyor demektir.
Bu saldırılar zamanla diş minesinin içindeki mineralleri çözmeye başlar. Mine zayıflar, incelir ve sonunda o minik deliklerin adı konur: çürük.

Dişleri Fırçalamak Çürümesine Engel Olur Mu?
Birçok kişi şöyle der: “Ben her sabah ve akşam dişlerimi fırçalıyorum, yine de çürük çıktı!” Evet, kulağa haksızlık gibi geliyor ama gerçek şu ki, sadece fırçalamak tek başına yeterli değil. Önemli olan nasıl fırçaladığın ve ne zaman fırçaladığın.
Diş fırçasını ağzında iki tur gezdirip çıkarmak, aslında yüzeydeki kalıntıları biraz temizler ama dişlerin arasına gizlenen bakterileri ve plakları tam anlamıyla ortadan kaldırmaz. Hele ki diş ipi kullanmıyorsan, o bölgelerde bakteriler adeta bayram eder. Yani “fırçalıyorum ama yine de çürüyor” diyorsan, belki de eksik olan şey, fırçalamak değil doğru teknikle fırçalamaktır.
Bir de işin zamanlama kısmı var. Çoğumuz asitli bir şey içtikten hemen sonra dişlerimizi fırçalamanın iyi bir fikir olduğunu düşünürüz oysa bu, diş minesine yapılabilecek en büyük kötülüklerden biridir. Çünkü asitli içecekler (kola, meyve suyu, limonlu su gibi) diş minesini geçici olarak yumuşatır. Bu durumda hemen fırçalamak, o yumuşamış yüzeyi kazımak gibidir.
Yapılması gereken en doğru şey, en az 30 dakika beklemektir. Bu süre içinde tükürük, ağzındaki asidi nötralize eder ve mine yeniden sertleşmeye başlar. Sonrasında dişlerini nazikçe, küçük dairesel hareketlerle fırçalarsan hem diş minesini korur hem de çürük oluşumunu engellemiş olursun.
Diş Çürüğüne Zemin Hazırlayan Alışkanlıklar
Diş çürüğü sadece şekerle ilgili değildir; birçok alışkanlık bu süreci hızlandırır.
İşte farkında olmadan yaptığımız bazı hatalar:
Gece bir şeyler yiyip dişleri fırçalamamak: Uykuda tükürük akışı azalır. Bu da bakterilerin rahatça çoğalmasına neden olur.
Sürekli atıştırmak: Ağzı sürekli asidik ortamda tutar.
Yetersiz su içmek: Tükürük, dişleri koruyan doğal bir savunmadır. Su içmemek, tükürük üretimini azaltır.
Sigara kullanmak: Diş etlerini zayıflatır ve ağız florasını bozar.
Yanlış beslenme: Vitamin ve mineral eksikliği, diş minesini güçsüz hale getirir.

Dişlerin Çürümesini Nasıl Önleriz
Diş çürüklerini önlemenin en etkili yolu, düzenli ve doğru ağız bakımı yapmaktır. Dişlerini günde en az iki kez nazikçe fırçalamak, diş ipi kullanmak ve şekerli gıdalardan mümkün olduğunca uzak durmak çürük riskini büyük ölçüde azaltır. Asitli içeceklerden sonra hemen fırçalamak yerine bir süre beklemek, su içerek ağzı nötrlemek de diş minesini korur.
Ama en önemlisi, dişlerinde bir sorun olmasa bile düzenli olarak muayene olmak, çürükleri başlamadan fark etmenin ve o güzel gülümsemeyi korumanın en güvenli yoludur.
